欢迎访问英国正版365首页官网网站,新版本上线试运行中!ENGLISH  学校主页  联系我们    
 首页  学院概况  机构设置  师资队伍  学科建设  教学工作  科学研究  重点实验室  党群工作  学生工作  人才培养  人才引进  招生就业 
新闻中心
 院系新闻 
 学术交流 
 通知公告 
院系新闻
Position: 首页 > 新闻中心 > 院系新闻 > Content
吴淑琪副教授在长余辉纳米材料合成及应用领域取得新进展
 

长余辉纳米材料是一种具有特殊发光机理的光学材料,能够实现免原位激发,成像信噪比和分辨率具有突出的优势。在前期的工作中,构建了基于长余辉纳米材料的肿瘤多模态成像和联合治疗复合物,有效的实现了高灵敏度无背景成像和肿瘤治疗,取得了系列成果。近期,侧重于新型多功能长余辉纳米复合物的合成,并拓宽生物医学应用领域,取得了一定的进展。

1. 单原子铱负载长余辉纳米复合物用于乳腺癌余辉/CT/光热成像和化学动力/光热协同治疗

首次将铱以单原子形式合成到长余辉纳米材料上,得到了具有类过氧化物酶催化活性和光热能力的单原子长余辉纳米酶(图1)。在包覆了外泌体后,Ir@PLNPs@EM复合物展现出了长余辉发光、类过氧化物酶催化活性、光热转换以及靶向乳腺癌能力。该工作为制备多功能单原子纳米酶@长余辉提供了一个新的途径。

图1. 铱单原子长余辉纳米酶的合成及应用

利用水热法合成单原子铱长余辉纳米酶,通过球差电镜、同步辐射等方法表征材料结构和单原子分布(图2)。

图2. 单原子铱长余辉纳米酶的结构表征

通过外泌体的修饰,长余辉纳米复合物可实现靶向肿瘤高灵敏多模态成像,为后续协同治疗提供基础(图3)。

图3. 外泌体修饰单原子铱长余辉纳米酶用于活体成像

相关工作“Single-Atom Iridium Nanozyme-Based Persistent Luminescence Nanoparticles for Multimodal Imaging-Guided Combination Tumor Therapy”发表在Advanced Healthcare Materials(一区,IF = 10.0)上(https://doi.org/10.1002/adhm.202402544)。西工大英国正版365首页官网李阳博士为一作,吴淑琪副教授、任煜京副教授、集美大学陈超翔副教授、上海工程技术大学尹学博教授为共同通讯作者。

2. 多肽修饰长余辉纳米复合物用于破骨细胞靶向双光子成像和骨质疏松治疗

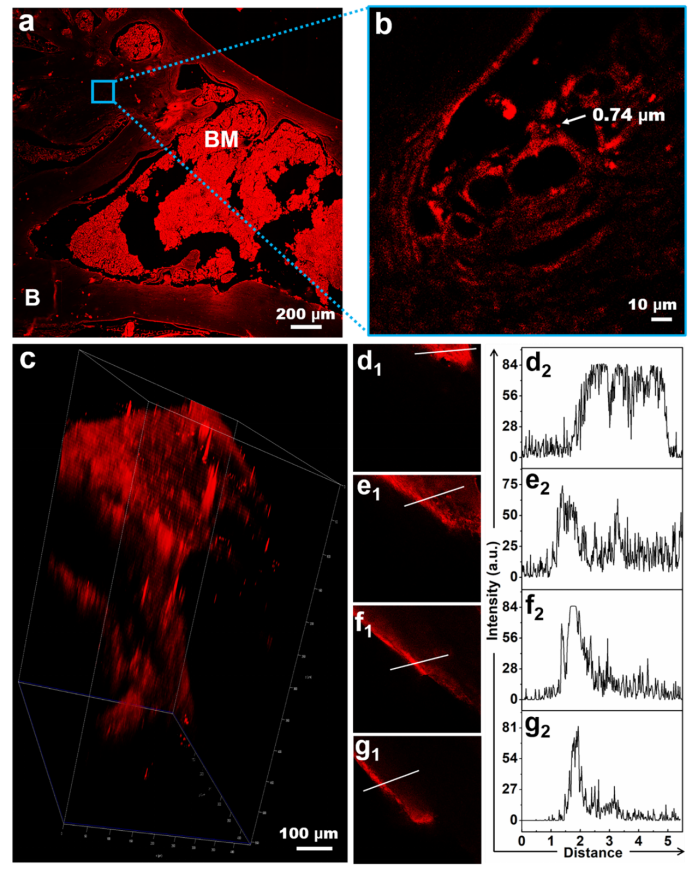
破骨细胞的分布和功能与多种骨相关疾病的发生发展密切相关,然而破骨细胞的靶向高灵敏成像一直是生物医学领域的难题。课题组设计合成了多肽修饰长余辉纳米材料,实现了在骨质疏松模型中对破骨细胞靶向高时空分辨双光子成像、活体余辉成像和骨质疏松的高效治疗(图4)。

图4. 双光子激发长余辉近红外发射机理及破骨细胞靶向成像和骨质疏松治疗示意图

长余辉纳米材料对破骨细胞的活体成像深度超过600 μm,即使在较深的骨组织内,成像信噪比仍超过40(图5)。

图5. 活体双光子破骨细胞高分辨成像

相关工作“High resolution osteoclast-targeted imaging-guided osteoporosis alleviation via persistent luminescence nanocomposite”发表在Chemical Engineering Journal(一区,IF = 13.3)上(https://doi.org/10.1016/j.cej.2024.149468)。

其他以通讯作者参与长余辉纳米材料研究工作:Coordination Chemistry Reviews (https://doi.org/10.1016/j.ccr.2023.215171)、ACS Applied Nano Materials(https://doi.org/10.1021/acsanm.4c03001)、Inorganic Chemistry Communications(https://doi.org/10.1016/j.inoche.2024.112908)等。

相关研究得到陕西省自然科学基金、大学生创新创业训练计划等项目的资助支持。希望感兴趣的老师同学多指导、交流、合作。

文/图:吴淑琪;审核:杨慧

Close Window

友情链接:
地址:西安市长安区东祥路1号  邮编:710129 联系电话:029-88430180